
Egészen a közelmúltig kap
A magzati idegrendszer mágneses rezonancia képalkotása az ultrahangot kiegészítő diagnosztikai módszer amelynek sok anya van kitéve a agy aminek köszönhetően bármilyen anomália azonosítható.
Ezek a tesztek általában a magzat a magzatvíz univerzumban van felfüggesztve abban a folyékony világban, ahol az MRI felbontása rossz minőségű, és minden mozgás akadályozza az adatok egyértelmű megszerzését.
Az ilyen típusú perinatális tesztek megbízhatósága eddig 50% volt bármilyen rendellenesség azonosításában.
Amit az első diagnosztikai teszteknek köszönhetően fedeztek fel, az forradalmat jelentett a perinatális gyógyászat területén. Az alábbiakban elmondjuk róla.

A koraszülöttek agyi tevékenysége
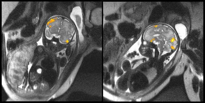
A felső képen egy magzat MRI-jét láthatjuk 20 hetesen, egy másikat 40 hetesen.
A teszteket végző tudósok egyik kiemelt célja az volt elemezni A kapott adatok eddig ismeretlen szempontokat tártak fel a koraszülöttekkel kapcsolatban.
A magzatok alacsony agyi összeköttetése, hogy
Az első tanulmány adatait a folyóiratban tették közzé Tudományos Jelentések Az elemzés kiegészítéseként az új mágneses rezonancia képalkotással 36 terhes nőt vizsgáltak meg a huszadik héttől a harminchatodik hétig. Felük nagy kockázatú terhesség volt, a babák pedig koraszülöttek.
- Ezt ki lehetett deríteni azok a magzatok, amelyek az idejük előtt születtek volna, nagyon gyenge kapcsolattal rendelkeztek alatt más magzatokhoz képest
- Eddig azt hitték, hogy a koraszülött gyermekeknél észlelt alacsony agyi konnektivitás főként a traumás szülésnek vagy a sokak hipoxiának köszönhető.
Ez az új bizonyíték azonban egyértelműen ezt igazolta az alacsony neuronaktivitás már az anyai méhen belül is megmutatkozik és hogy a neuronok közötti rossz kapcsolat nagyon szembetűnő Brocca területén, vagyis a nyelvi feldolgozással kapcsolatos területen.

Mi a hasznossága ezeknek az új diagnosztikai teszteknek?
Ahogy a cikk elején elmondtuk Az MRI célja bármilyen perinatális anomália azonosítása. Manapság nem hagyhatjuk figyelmen kívül azt a tényt, hogy a koraszülések egyre gyakoribbak, és ez a valóság arra kényszeríti az orvosokat, hogy tanuljanak.
- A munka adatai azt mutatják a koraszülött babák közül soknál gyulladt a méhlepényszövet. Emiatt azt gondoljuk, hogy az anyai gyulladás meghatározhatja a magzat csökkent agyi aktivitását és az azt követő koraszülést.
- Továbbá Minél hamarabb azonosítják ezeket a perinatális anomáliákat, annál nagyobb az esély a beavatkozásra. Nem is kell

Összegezve, ezek az első képek az emberi magzatok agyi tevékenységéről megértetik velünk, hogy elérhető egy ajtó, amelyen áthaladva egy kicsit jobban megérthetjük saját fejlődésünket. Ennek ellenére képviselik mindenekelőtt egy precíziós diagnosztikai eszköz, amellyel teljesebb ellátást nyújthat a koraszülöttnek arra az életre, amely idő előtt érkezik, és amelynek nagy szüksége van az orvosok és családja tudományára.
Reméljük, hogy ez a helyzet.